Susigrąžinkite prarastą dantį
per vieną vizitą!

Atstatykite funkciją ir estetiką.

01 —

„Šypsena per vieną dieną“ implantacijos protokolas leidžia gydytojui odontologui suteikti galimybę pacientui susigrąžinti estetinį vaizdą ir funkcines danties galimybes per vieną vizitą

Kadangi mūsų dantys yra labai glaudžiai susiję su mūsų gyvenimo kokybe ir funkcionalumu, vienmomentė implantacija ir protezavimas tampa idealiu sprendimo variantu, kai dantys yra nebetinkami restauracijai.

“Šypsena per vieną dieną” – atsakymas į visus paciento ir gydytojo klausimus.

02 —

„Šypsena per vieną dieną“ gydymo protokolas taikomas ir vyresniems pacientams. Susigrąžinkite šypseną per vieną vizitą

Ilgas ir varginantis gydymas sukuria didesnę implanto atmetimo galimybę.

Susigrąžinkite šypseną ir funkciją per vieną vizitą skaitmeninės odontologijos pagalba ir pamirškite nemalonius pojūčius ar gėdos jausmą

Kas yra „Šypsena per vieną dieną“

“Šypsena per vieną dieną” yra inovatyviausias ir labiausiai pažengęs dantų gydymas implantais sujungus MegaGen dantų implantus su MegaGen R2GATE skaitmeninio planavimo sistema.

“Šypsena per vieną dieną” yra skaitmeninis gydymo protokolas, kai dantų implantacija yra paremta protezavimo principais.

“Šypsena per vieną dieną” protokolas sumažina gydymo laiką iki minimumo. Laikinos restauracijos yra uždedamos iškart po implanto įsriegimo.

Virtualus 3D operacijos protokolas yra sukuriamas prieš implantaciją, implantacijos procedūra atliekama be pjūvių, todėl pacientas nejaučia skausmo nei operacijos metu, nei pooperaciniu laikotarpiu.

Laikini dantys yra uždedami iškart po implantacijos, todėl pacientas iš odontologo kabineto išeina jau su nauja šypsena.

  • Mažiau komplikacijų
  • Daugiau tikslumo
    Iš anksto paruošta virtuali 3D operacija
  • Mažiau skausmo
  • Greitesnis gijimas dėka belopės chirurgijos
  • Greitesnė procedūra
  • Daugiau natūralumo
  • Geresni minkštieji audiniai aplink laikinas restauracijas
  • Atgaukite šypseną iškart po implantacijos

Pasinaudokite praktiškai patikrintomis ir rekomenduojamomis technologijomis

01 —

Virtuali chirurgija pasinaudojus skaitmenine diagnostikos programa

Siekiant kuo tikslesnės ir mažiau invazyvios chirurgijos, implantų pozicija, anguliacija, ilgis ir diametras yra pateikiami jau prieš implantaciją.

Siekiant išvengti tokių komplikacijų: apatinio žandikaulio nervo sužalojimas, ančio dugno perforacija, – chirurginis gidas yra vienintelis saugus ir patikimas sprendimas šioje situacijoje.

02 —

Dažniausiai, chirurginis gidas belopei chirurgijai yra spausdinamas 3D printeriu

Susisteminus informaciją, sumodeliuotas chirurginis gidas padeda išvengti minkštųjų audinių redukcijos.

Minimaliai invazyvi implantacija pasižymi mažesniu skausmu, tinimu ir greitesniu gijimu.

Belopė chirurgija

Individualus chirurginis gidas

Belopė chirurgija

03 —

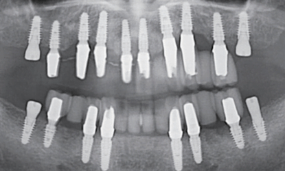
Implantų pozicionavimas ir restauracijų modeliavimas toleruoja ne didesnę nei 1mm paklaidą

Implantų pozicijos ir galutinės restauracijos toleruoja ne didesnę nei 1mm paklaidą, taip užtikrindamos puikią estetiką ir funkciją.

Netiksliai pozicionuoti implantai praranda galimybę atlaikyti okliuzines jėgas, todėl netiksliai pozicionuoti implantai dažniausiai kenčia nuo periimplantitų, kuris būtent sąlygoja trumpesnį implantų ilgaamžiškumą

Virtuali chirurgija

Implantai įsriegti pagal suplanuotą protokolą

Restauracijos uždėtos pagal suplanuotą protokolą

04 —

Vienmomentis funkcijos ir estetikos atstatymas

Laikinos restauracijos yra paruoštos atidavimui jau prieš operaciją. Šios restauracijos buvo sumodeliuotos CAD-CAM sistema, panaudojus PMMA ar kitas jums patinkančias medžiagas laikinų restauracijų gamybai.

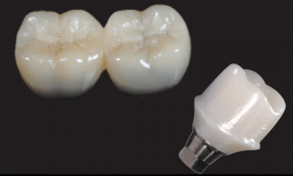
Individualizuotos atramos ir karūnėlės

Vienmomentis priekinių dantų atstatymas laikinomis restauracijomis

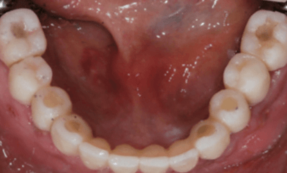
Vienmomentis krūminių dantų atstatymas laikinomis restauracijomis

Vienmomentis pilnas dantų atstatymas

10 priežasčių taikyti “Šypsena per vieną dieną” protokolą:

  1. Belopė chirurgija – minimalus kraujavimas ir minimaliai invazyvi chirurgija;
  2. Galimybė protezuoti iškart po implantacijos;
  3. Sutrumpintas vizitacijos laikas;
  4. Mažiau chirurgijos, mažiau tinimo, greitesnis atsistatymas;
  5. Galimybė taikyti protokolą, bet kokio tipo kaule, bet kokio amžiaus žmonėms;
  6. Sustiprintas saugumas dėl iš anksto numatytų komplikacijų: nervas, ančio dugnas;
  7. Tikslus implanto pozicijos planavimas sukuria galimybę išgauti aukštą pirminį stabilumą;
  8. Sumažinta karūnėlės lūžimo tikimybė dėka iš anksto suplanuoto karūnėlės dizaino;
  9. Individualios cirkoninės atramos pagerina minkštųjų audinių gijimą;
  10. Išlaikoma natūrali šypsena ir restauracijų išlindimo profilis, todėl šypsena tampa labai panaši į prieš tai buvusią.

Kas yra dantų implantas?

Sužinoti daugiau

Kokios yra gydymo galimybės ir privalumai?

Sužinoti daugiau

DUK ir implantų priežiūra

Sužinoti daugiau