Gydymo dantų implantais funkciniai ir estetiniai privalumai
Po gydymo dantų implantais ir implanto oseotinegracijos, jums įsriegti implantai tarnaus kaip ir natūralūs jūsų dantys estetine ir funkcine prasme.
01 —
Gydymas dantų implantais
Gydymas dantų implantais yra įmanomas visiems pacientams, kuriems yra susiformavęs žandikaulio kaulas. Jauniems ir vyresniems pacientams, kuriems trūksta dantų dėl ligos, traumos, prastos burnos higienos ar įvairių kitų priežasčių, gydymas dantų implantais yra taip pat galimas. Implantologijos praktikoje yra situacijų, kai implantacija yra neįmanoma, tačiau tokie atvejai yra labai reti, todėl mokslinėje literatūroje nėra įvardinami kaip apibrėžta kontraindikacija.
02 —
Veido kontūrų išlaikymas
Dantų implantai atlieka palaikomąją žandikaulio kaulo funkciją, todėl implantus įsriegus iškart po danties rovimo, minkštųjų ir kietųjų audinių, veido kontūrų būklė lieka tapati.
Jei išrautų dantų nepakeisime dantų implantais, laikui bėgant keičiasi veido kontūrai: lūpos sukrenta į burnos ertmę, skruostikauliai praranda savo formą, smakras tampa smailesnis o nosis labiau atsikišus. Todėl žmogus, neturintis dantų, nors ir yra vidutinio amžiaus, atrodo kaip senyvo amžiaus žmogus.
03 —
Susigrąžinkite natūralią šypseną
Pasitelkus inovatyvius gydymo metodus, instrumentus ir medžiagas – jūsų nauji dantys atrodys natūraliai, todėl kiti žmonės nė nepastebės jūsų šypsenos pokyčių.
Susigrąžinkite natūralią šypseną ir pasitikėjimą savimi.
04 —
Natūrali išvaizda
Kadangi implantas atstoja jūsų natūralius dantis, funkcija ir estetika lieka nepakitusi.
Dantų implantai taip pat padeda išsaugoti gretimus dantis, jų nežalojant dantų protezavimo būdu.
Atstatykite savo trūkstamus dantis dantų implantais
Nesvarbu ar jums trūksta vieno ar visų dantų. Dantų implantais galime išspręsti visas jūsų šypsenos problemas.
Peržiūrėkite, kaip dantų implantai pakeičia trūkstamus dantis.
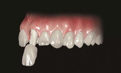
01 —
Problema: Trūksta priekinio danties
Tikslas:
Pakeisti trūkstamą dantį dantų implantu
Rezultatas:
Atkartota natūrali estetika
02 —
Problema: Trūksta krūminio danties
Tikslas:
Pakeisti trūkstamą dantį dantų implantu
Rezultatas:
Atkurta pilnavertė kramtymo funkciją
03 —
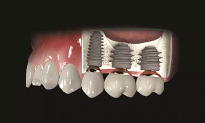
Problema: Trūksta krūminių dantų
Tikslas:
Pakeisti trūkstamus dantis dantų implantais
Rezultatas:
Atkurta pilnavertė kramtymo funkcija tvirtais ir patikimais fiksuotais protezais
04 —
Problema: Nepakankamas kaulo aukštis dantų implantui
Tikslas:
Pakeisti trūkstamą dantį dantų implantu per vieną kartą
Rezultatas:
Atlikta sinuso elevacijos procedūra ir dėka gero pirminio stabilumo vienmomentiškai įsriegti dantų implantai
05 —
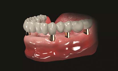
Problema: Trūksta visų dantų
Tikslas:
Pakeisti trūkstamus dantis dantų implantais
Rezultatas:
Atkurta pilnavertė kramtymo ir estetinė funkcija fiksuotais dantų protezais
06 —
Problema: Trūksta visų dantų
Tikslas:
Pakeisti trūkstamus dantis išimamais protezais (ekonomiškiausias gydymo būdas)
Rezultatas:
Atkurta kramtymo ir estetinė funkcija išimamais dantų protezais




























